ДАР - Остеонекроз нижней челюсти

Остеонекроз нижней челюсти

В настоящее время, по сведениям разных авторов, частота развития ОНЧ в среднем, достигает 12%, а по некоторым данным до 27%.

Бисфосфонаты – этот вид лекарств, который предотвращает потерю костной массы, имеет различные показания и используется для профилактики и лечения остеопороза, лечения болезни Педжета и паранеопластической гиперкальциемии; его применяют как часть схемы лечения рака, особенно метастатического рака кости и множественной миеломы.

Бисфосфонаты оказывают целенаправленное воздействие на костную ткань в зонах, имеющих высокую скорость резорбции (разрушение, рассасывание кости, остеолиз) и регенерации. Они тормозят резорбцию кости путем уменьшения активности и количества остеокластов за счет влияния на их способность к адгезии, подвижности, цитологической структуры, дифференциации длительности жизни. Так же бисфосфонаты оказывают влияние на остеобласты и макрофаги. Кроме этого бисфосфонаты оказывают тормозящее действие на эндотелий сосудов, приводя к снижению кровотока в косной ткани. 

Несмотря на то, что лечение бисфосфонатами имеет много преимуществ для пациентов с заболеваниями костной ткани, оно также имеет ряд неблагоприятных эффектов. Наиболее серьезным, из которых является ОНЧ. Кость челюсти (частично или полностью) становится хрупкой как мел и со временем может обнажаться.  Это является причиной сильной боли, а также вызывает проблемы во время приема пищи, разговора, проведения чистки зубов.

Бисфосфонаты могут  назначаться перорально (таблетки) и внутривенно. Сообщалось, что ОНЧ чаще всего встречался у пациентов, которые получали золедроновую кислоту, гораздо реже отмечался при приеме пероральных бисфосфонатов, что связано с более высокой биодоступностью в/в препаратов.

Чаще всего процесс развития остеонекроза возникает на нижней челюсти, чем на верхней. Сочетанное повреждение челюстей встречается крайне редко. На верхней челюсти кость более пористая, (особенно в районе дальних коренных зубов) мягче, в ней лучше кровоснабжение мелкими капиллярами, и это помогает лучшему заживлению. На нижней челюсти кость наоборот тверже, компактнее, соответственно и рисков развития некроза больше. 

Риск развития осложнения повышается через 6-8 введений бисфосфонатов.

Предрасполагающие факторы

  • удаление зубов;
  • аболевания периодонта;
  • мандибулярные экзостозы;
  • установка дентальных имплантов;
  • местная инфекция;
  • использование кортикостероидов, Н2 блокаторов, антиангиогенных препаратов (особенно Сунитиниб, Бевацизумаб), эритропоэтинов, циклофосфамида;
  • химиотерапия;
  • плохой стоматологический статус;
  • употребление алкоголя и табака;
  • преклонный возраст;
  • диабет;
  • иммуносупрессия;
  • генетические факторы.

Важную роль играет инфицирование кости микрофлорой рта при малейшей травме.  Наиболее часто это происходит при удалении зубов и хирургических вмешательствах во рту, повреждении слизистой оболочки нерационально изготовленными съёмными протезами и искусственными коронками, оголением кости в результате заболеваний пародонта.

Симптомы

  • нарушение чувствительности; 
  • боль и отек на пораженной челюсти, при отсутствии патологии зубочелюстной системы; 
  • нагноение мягких тканей;
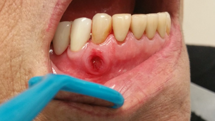
  • дефекты слизистых оболочек с гладкими или неровными краями с оголением кости на верхней или нижней челюсти, сохраняющиеся более восьми недель.

Перед началом терапии бисфосфонатами

Необходим осмотр и санация полости рта

  • Осмотр включает в себя рентгеновское обследование, включая зубы мудрости для исключения хронического воспаления. 
  • То, что плохо выглядит уже сейчас – удаляется. 
  • То, что выглядит слмнительно в долгосрочном прогнозе – тоже лучше удалить, хотя очень часто приходится принимать решение исходя из общей ситуации.

Удаления желательно выполнить до начала терапии бисфосфонатами.
Если у вас есть или вам только что сделали съемные протезы, их прилегание к слизистой должно быть идеальным. Важно избегать натирания и травматизации тканей.

Профилактика

Всем пациентам, которые начинают принимать бисфосфонаты, рекомендуется определить факторы риска ОНЧ (травмы челюсти, активная зубная инфекция, удаление зубов).

  • регулярно проходить стоматологическое обследование;
  • поддерживать хорошую гигиену полости рта;
  • обязательно сообщать о любых симптомах, локализованных в полости рта;
  • избегать хирургических вмешательств.

Не следует "запускать" зубы даже после того, как вы все сделали и залечили. Вылетела старая пломбочка – бегом к врачу, лечить. Где-то что-то заныло – сразу к врачу! 

При терапии бисфосфонатами лечиться можно  и нужно. Однако следует избегать процедур, где задействована кость: удаления, установка имплантов, глубокая чистка десневых карманов.

Удалять зуб можно, если этого требует ситуация. Делать это должен не врач-стоматолог, а челюстно-лицевой хирург под прикрытием антибиотиков широкого спектра.

Консервативное лечение

  • антибактериальная терапия;
  • ежедневная обработку очагов поражения растворами антисептиков;
  • низкоинтенсивная лазеротерания на область поражения: значительное уменьшение болевого синдрома, размеров очага поражения, отека, размеров и количества свищевых ходов и объема гнойного отделяемого у пациентов с остеонекрозом нижней челюсти на фоне введения.

При выборе хирургического метода, производят кюретаж лунок удаленных зубов, резекцию челюсти, секвестрэктомию.

img

Поддержка в получении инвалидности

Узнать больше